Cirurgião Dentista
Atendimento qualificado no centro de Florianópolis
Entre em contato e marque sua avaliação!
O que oferecemos
Para informações
Preencha e entraremos em contato
Obrigado. Logo retornaremos.
Horário
Segunda - Sexta: 8:00 - 12:00 e 13:30 - 19:00
CONTAMOS COM ATENDIMENTO DE URGÊNCIA
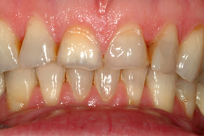
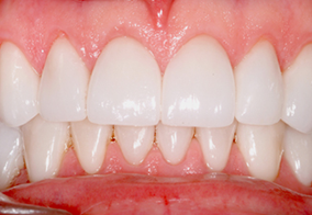
Sorriso Saudável, Vida Feliz: A Importância do Dentista para o Seu Bem-Estar Completo
Seu sorriso é o seu cartão de visitas, mas a saúde bucal vai muito além da estética. Um dentista é o seu aliado para garantir um sorriso radiante e um corpo saudável, pois a saúde da boca está intimamente ligada ao bem-estar geral.
Principais procedimentos
Próteses dentárias são dispositivos artificiais usados para substituir dentes ausentes ou danificados, restaurando a função mastigatória, a estética do sorriso e a fala. Elas podem ser classificadas em diferentes tipos, dependendo da forma de fixação e do número de dentes substituídos.
Tipos de próteses dentárias:
- Próteses fixas:
- Coroas: Substituem um único dente danificado, cobrindo-o completamente.
- Pontes: Substituem um ou mais dentes ausentes, fixando-se nos dentes adjacentes.
- Próteses sobre implantes: Fixadas em implantes dentários, oferecem maior estabilidade e conforto.
- Próteses removíveis:
- Próteses parciais removíveis (PPR): Substituem alguns dentes ausentes, com grampos que se prendem aos dentes remanescentes.
- Próteses totais removíveis (dentaduras): Substituem todos os dentes de uma arcada dentária, apoiando-se na gengiva.
- Overdentures: Próteses totais removíveis que se encaixam sobre implantes dentários, proporcionando maior retenção.
Materiais utilizados:
As próteses dentárias podem ser feitas de diversos materiais, como:
- Resina acrílica
- Porcelana
- Zircônia
- Metal
Cuidados com as próteses dentárias:
- Higiene bucal rigorosa: Escovação dos dentes e da prótese, uso de fio dental e enxaguante bucal.
- Limpeza da prótese: Remova a prótese para limpar após as refeições.
- Visitas regulares ao dentista: Para avaliação e ajustes da prótese.
- Evitar alimentos duros ou pegajosos.
- Retirar a prótese para dormir.
Benefícios das próteses dentárias:
- Melhora da mastigação e da digestão.
- Melhora da fala.
- Melhora da estética do sorriso e da autoestima.
- Prevenção do deslocamento de outros dentes.
- Preservação da estrutura óssea.
Considerações importantes:
- A escolha do tipo de prótese depende das necessidades e condições de cada paciente.
- É fundamental consultar um dentista para avaliar o caso e indicar a melhor opção de tratamento.
- O custo das próteses dentárias pode variar dependendo do tipo de prótese e dos materiais utilizados.
Implantes dentários são estruturas de titânio que substituem a raiz de um dente perdido, servindo de base para a fixação de próteses dentárias (dentes artificiais). Eles oferecem uma solução duradoura e esteticamente agradável para pessoas que perderam um ou mais dentes devido a cáries, doenças gengivais, lesões ou outras condições.
Benefícios dos implantes dentários:
- Melhora da mastigação: Os implantes proporcionam uma base sólida para os dentes artificiais, permitindo mastigar os alimentos com mais eficiência e conforto.
- Melhora da fala: A perda de dentes pode afetar a fala, e os implantes ajudam a restaurar a função fonética adequada.
- Melhora da estética: Os implantes dentários proporcionam um sorriso natural e bonito, melhorando a autoestima e a confiança.
- Preservação da estrutura óssea: Os implantes estimulam o osso maxilar, prevenindo a reabsorção óssea que ocorre após a perda de um dente.
- Maior durabilidade: Com os cuidados adequados, os implantes dentários podem durar muitos anos, proporcionando uma solução de longo prazo para a perda de dentes.
- Conforto: Implantes dentários, diferentemente de próteses móveis, se tornam parte fixa da boca, proporcionando maior conforto e segurança.
Restaurações dentárias são procedimentos odontológicos que visam reparar dentes danificados por cáries, fraturas ou desgastes, 1 restaurando sua forma, função e estética. Elas são essenciais para manter a saúde bucal, prevenir a progressão de problemas dentários e garantir um sorriso saudável e bonito.
Tipos de restaurações:
- Restaurações diretas:
- São realizadas diretamente na boca do paciente, utilizando materiais como resina composta ou amálgama.
- A resina composta é a opção mais comum atualmente, devido à sua estética e capacidade de se adaptar à cor do dente.
- O amálgama, embora durável, é menos utilizado devido à sua coloração metálica.
- Restaurações indiretas:
- São feitas em laboratório, a partir de moldes do dente do paciente.
- Incluem incrustações (inlays e onlays) e coroas, feitas de porcelana ou outros materiais resistentes.
- São indicadas para casos de danos mais extensos, quando a restauração direta não é suficiente.
Materiais utilizados:
- Resina composta:
- Material estético, com diversas cores e texturas para se adaptar ao dente.
- Versátil, utilizada em restaurações de diferentes tamanhos e localizações.
- Amálgama:
- Liga metálica durável, mas com coloração prateada.
- Menos utilizada atualmente, devido à preocupação estética e à presença de mercúrio em sua composição.
- Porcelana:
- Material resistente e estético, utilizado em restaurações indiretas.
- Oferece alta durabilidade e aparência natural.
- Ionômero de vidro:
- Material que libera flúor, auxiliando na prevenção de cáries.
- Utilizado principalmente em restaurações de dentes decíduos (de leite) e em áreas de difícil acesso.
Cuidados após a restauração:
- Higiene bucal rigorosa: Escovação dos dentes e uso de fio dental diariamente.
- Evitar alimentos duros ou pegajosos nos primeiros dias após a restauração.
- Visitas regulares ao dentista para avaliação e limpeza profissional.
Benefícios das restaurações:
- Restauração da função mastigatória.
- Melhora da estética do sorriso.
- Prevenção da progressão de cáries e outros problemas dentários.
- Alívio da dor e sensibilidade.
Considerações importantes:
- A escolha do tipo de restauração e do material utilizado depende do tamanho e da localização do dano, bem como das necessidades e preferências do paciente.
- É fundamental consultar um dentista para avaliar o caso e indicar a melhor opção de tratamento.
- A manutenção de uma boa higiene oral é importante para a durabilidade da restauração.
Profilaxia + Raspagem + Polimento são um conjunto de procedimentos odontológicos essenciais para a manutenção da saúde bucal, cada um com um propósito específico:
Profilaxia (Limpeza Dental)
- A profilaxia é uma limpeza dental profissional realizada no consultório odontológico.
- O objetivo é remover a placa bacteriana, o tártaro e manchas superficiais que a escovação diária não consegue eliminar.
- Previne cáries, gengivite e outras doenças periodontais.
- Geralmente, é recomendada a cada seis meses, mas a frequência pode variar dependendo das necessidades individuais.
Raspagem (Raspagem Subgengival)
- A raspagem é um procedimento mais profundo, focado na remoção do tártaro que se acumula abaixo da linha da gengiva.
- É fundamental para tratar doenças periodontais, como a gengivite e a periodontite.
- Ajuda a eliminar bactérias e toxinas que causam inflamação e danos aos tecidos gengivais e ósseos.
Polimento
- O polimento é a etapa final da limpeza dental, que visa deixar a superfície dos dentes lisa e brilhante.
- Remove manchas residuais e alisa áreas ásperas, dificultando o acúmulo de placa bacteriana.
- Contribui para a estética do sorriso, deixando os dentes com uma aparência mais limpa e saudável.
Benefícios do conjunto "Profilaxia + Raspagem + Polimento"
- Prevenção de doenças bucais: Reduz o risco de cáries, gengivite, periodontite e outras infecções.
- Melhora da saúde gengival: Remove o tártaro e a placa bacteriana que irritam e inflamam as gengivas.
- Hálito fresco: Elimina bactérias que causam mau hálito.
- Estética do sorriso: Remove manchas e deixa os dentes mais brancos e brilhantes.
- Preservação da saúde geral: A saúde bucal está diretamente ligada à saúde geral, e a prevenção de infecções bucais pode ter um impacto positivo em todo o corpo.
Considerações importantes
- É fundamental procurar um dentista qualificado para realizar esses procedimentos.
- A frequência da raspagem pode variar dependendo da gravidade da doença periodontal.
- A manutenção da higiene bucal em casa, com escovação e uso de fio dental, é essencial para complementar os cuidados profissionais.
A ortodontia é uma especialidade da odontologia dedicada ao diagnóstico, prevenção e tratamento de problemas relacionados ao posicionamento dos dentes e ossos maxilares. O objetivo principal é corrigir a má oclusão (mordida inadequada) e o desalinhamento dentário, proporcionando um sorriso mais bonito e funcional.
Problemas que a ortodontia trata:
- Dentes tortos ou apinhados: dentes que não têm espaço suficiente para se posicionarem corretamente na arcada dentária.
- Mordida cruzada: quando os dentes superiores se encaixam dentro dos dentes inferiores.
- Sobremordida: quando os dentes superiores se projetam excessivamente sobre os dentes inferiores.
- Mordida aberta: quando há um espaço entre os dentes superiores e inferiores ao morder.
- Diastema: espaços entre os dentes.
- Problemas na articulação temporomandibular (ATM): dores e estalos na mandíbula ao abrir e fechar a boca.
Aparelhos fixos são dispositivos ortodônticos colados aos dentes, utilizados para corrigir problemas de má oclusão e alinhamento dentário. Eles são compostos por braquetes, fios e bandas, que aplicam força controlada nos dentes para movê-los gradualmente para a posição desejada.
Tipos de Aparelhos Fixos:
- Metálicos Tradicionais:
- São os mais comuns e econômicos.
- Compostos por braquetes de metal, fios e elásticos (borrachinhas) que prendem o fio aos braquetes.
- Altamente eficazes para corrigir diversos problemas ortodônticos.
- Estéticos:
- Oferecem uma aparência mais discreta em comparação aos metálicos.
- Os braquetes podem ser feitos de porcelana, safira ou policarbonato, materiais que se assemelham à cor dos dentes.
- São uma opção popular para adultos que buscam um tratamento mais discreto.
- Autoligados:
- Possuem um sistema de "clipes" que prendem o fio aos braquetes, eliminando a necessidade de elásticos.
- Reduzem o atrito e permitem movimentos dentários mais eficientes.
- Podem diminuir o tempo de tratamento e o número de consultas de manutenção.
- Linguais:
- São fixados na parte interna dos dentes, tornando-os praticamente invisíveis.
- Oferecem a máxima estética durante o tratamento.
- Podem exigir um período de adaptação para a fala e a higiene bucal.
Vantagens dos Aparelhos Fixos:
- Correção precisa: Permitem um controle preciso dos movimentos dentários, resultando em resultados eficazes.
- Versatilidade: Adequados para tratar uma ampla gama de problemas ortodônticos, desde casos simples até os mais complexos.
- Resultados duradouros: Quando combinados com a contenção adequada após o tratamento, os resultados tendem a ser estáveis a longo prazo.
Desvantagens dos Aparelhos Fixos:
- Estética: Os aparelhos metálicos tradicionais são visíveis, o que pode ser uma preocupação para alguns pacientes.
- Higiene bucal: A limpeza dos dentes e do aparelho exige mais atenção e cuidado para evitar o acúmulo de placa bacteriana.
- Desconforto: No início do tratamento e após as manutenções, pode haver desconforto e sensibilidade nos dentes.
- Restrições alimentares: Alimentos duros, pegajosos ou crocantes devem ser evitados para não danificar o aparelho.
Cuidados com Aparelhos Fixos:
- Higiene bucal rigorosa: Escovar os dentes após cada refeição e usar fio dental diariamente.
- Limpeza do aparelho: Utilizar escovas interdentais e outros acessórios para remover resíduos de alimentos.
- Visitas regulares ao ortodontista: Comparecer às consultas de manutenção para ajustes e acompanhamento do tratamento.
- Evitar alimentos prejudiciais: Alimentos duros, pegajosos ou crocantes podem danificar o aparelho.
- Proteger o aparelho: Em atividades esportivas, utilizar protetores bucais para evitar danos.
Considerações Importantes:
- A escolha do tipo de aparelho fixo depende das necessidades e preferências do paciente, bem como da complexidade do caso.
- É fundamental procurar um ortodontista qualificado para realizar o tratamento.
- O ortodontista irá avaliar o seu caso para determinar qual sera o melhor tipo de aparelho para o seu tratamento.
Os alinhadores invisíveis são uma alternativa moderna e discreta aos aparelhos ortodônticos tradicionais. Eles consistem em uma série de placas transparentes e removíveis, feitas sob medida para cada paciente, que gradualmente movimentam os dentes para a posição desejada.
Como funcionam:
- Planejamento: O ortodontista realiza um escaneamento digital 3D da boca do paciente, criando um modelo virtual dos dentes.
- Fabricação: Com base no modelo virtual, são fabricados diversos alinhadores, cada um com uma pequena diferença em relação ao anterior.
- Uso: O paciente utiliza cada alinhador por cerca de duas semanas, trocando-o pelo próximo da sequência.
- Movimentação: Os alinhadores aplicam pressão controlada nos dentes, movimentando-os gradualmente para a posição correta.
- Acompanhamento: O ortodontista acompanha o progresso do tratamento, realizando ajustes e fornecendo novos alinhadores conforme necessário.
Vantagens dos alinhadores invisíveis:
- Estética: São praticamente invisíveis, proporcionando um tratamento discreto.
- Conforto: Não possuem fios ou braquetes que podem causar irritação na boca.
- Removíveis: Podem ser retirados para comer, beber e higienizar os dentes.
- Higiene: Facilitam a escovação e o uso do fio dental, reduzindo o risco de cáries e doenças gengivais.
- Previsibilidade: O modelo virtual 3D permite visualizar o resultado final do tratamento antes mesmo de iniciá-lo.
- Menos consultas: Geralmente, exigem menos visitas ao ortodontista em comparação aos aparelhos fixos.
Desvantagens dos alinhadores invisíveis:
- Custo: Geralmente, são mais caros que os aparelhos fixos tradicionais.
- Disciplina: Exigem disciplina do paciente, que deve utilizá-los pelo tempo recomendado pelo ortodontista (geralmente 22 horas por dia).
- Restrições: Podem exigir algumas restrições alimentares, como evitar alimentos muito duros ou pegajosos.
- Limitações: Podem não ser adequados para casos mais complexos de má oclusão.
Cuidados com os alinhadores invisíveis:
- Higiene: Limpar os alinhadores diariamente com água e sabão neutro.
- Armazenamento: Guardar os alinhadores na caixa apropriada quando não estiverem em uso.
- Remoção: Retirar os alinhadores para comer e beber, exceto água.
- Uso: Utilizar os alinhadores pelo tempo recomendado pelo ortodontista.
- Consultas: Comparecer às consultas de acompanhamento com o ortodontista.
Considerações importantes:
- A escolha do tratamento ortodôntico (alinhadores invisíveis ou aparelhos fixos) depende das necessidades e preferências do paciente, bem como da complexidade do caso.
- É fundamental procurar um ortodontista qualificado para avaliar o caso e indicar a melhor opção de tratamento.
- O ortodontista irá avaliar o seu caso, para ver se o tratamento com alinhadores invisíveis é possível para o seu caso.
A endodontia é a especialidade da odontologia responsável pelo tratamento da polpa dentária, tecido localizado no interior do dente que contém nervos, vasos sanguíneos e tecido conjuntivo. Quando a polpa é danificada por cárie profunda, fratura dentária ou outras causas, o tratamento endodôntico (canal) torna-se necessário para salvar o dente.
O que é endodontia?
A palavra "endodontia" vem do grego, onde "endo" significa "dentro" e "odont" significa "dente". Essa especialidade cuida da "parte interna" do dente, mais especificamente da polpa e da raiz, realizando tratamentos para salvar dentes danificados ou infeccionados.
O tratamento de canal é indicado quando a polpa dentária está inflamada ou infectada, o que pode ocorrer devido a:
- Cárie profunda: que atinge a polpa dentária.
- Fratura dentária: que expõe a polpa a bactérias.
- Trauma dentário: que danifica a polpa.
- Tratamentos dentários extensos: que irritam a polpa.
Sintomas que podem indicar a necessidade de tratamento de canal:
- Dor de dente intensa, especialmente ao mastigar ou ao toque.
- Sensibilidade prolongada ao calor ou frio.
- Inchaço na gengiva.
- Escurecimento do dente.
- Abscesso dentário (acúmulo de pus).
Como é feito o tratamento de canal?
O tratamento de canal envolve as seguintes etapas:
- Acesso à polpa: O dentista faz um pequeno orifício na coroa do dente para acessar a polpa.
- Remoção da polpa: A polpa inflamada ou infectada é removida com instrumentos especiais.
- Limpeza e modelagem dos canais: Os canais radiculares são limpos e modelados para remover bactérias e preparar o espaço para o material obturador.
- Obturação dos canais: Os canais são preenchidos com um material obturador para selar o espaço e prevenir a reinfecção.
- Restauração do dente: O dente é restaurado com uma coroa ou outro tipo de restauração para proteger a estrutura dental remanescente.
Benefícios do tratamento de canal:
- Salva o dente natural, evitando a necessidade de extração.
- Alivia a dor e o desconforto.
- Previne a propagação da infecção para outras áreas da boca e do corpo.
- Restaura a função mastigatória e a estética do sorriso.
Cuidados após o tratamento de canal:
- Manter uma boa higiene bucal, com escovação e uso de fio dental diários.
- Evitar alimentos duros ou pegajosos nos primeiros dias após o tratamento.
- Comparecer às consultas de acompanhamento com o dentista.
Considerações importantes:
- O tratamento de canal é um procedimento seguro e eficaz, com alta taxa de sucesso.
- A dor após o tratamento é geralmente leve e pode ser controlada com analgésicos.
- A restauração do dente após o tratamento é essencial para proteger a estrutura dental remanescente.
- É fundamental procurar um endodontista qualificado para realizar o tratamento de canal.
A exodontia, ou extração dentária, é um procedimento comum na odontologia, indicado para remover dentes que não podem ser restaurados ou que causam problemas à saúde bucal. Ela pode ser classificada em simples ou complexa, dependendo da dificuldade do procedimento.
Exodontia Simples:
- O que é:
- A exodontia simples é a remoção de um dente que está totalmente erupcionado (visível na boca) e que pode ser facilmente removido com fórceps e alavancas.
- Geralmente, envolve dentes com raízes únicas ou com pouca curvatura.
- Indicações:
- Cáries extensas que destruíram grande parte do dente.
- Fraturas dentárias que não podem ser restauradas.
- Dentes com mobilidade excessiva devido à doença periodontal.
- Dentes supranumerários (extras) que causam problemas.
- Dentes que impedem a erupção de outros dentes.
- Procedimento:
- O dentista aplica anestesia local para adormecer a área.
- Com fórceps e alavancas, o dente é cuidadosamente removido.
- A área é limpa e, se necessário, suturada.
- Recuperação:
- A recuperação é geralmente rápida, com leve desconforto e inchaço nos primeiros dias.
- O dentista fornecerá instruções sobre cuidados pós-operatórios, como dieta, higiene bucal e uso de medicamentos.
Exodontia do 3º Molar (Dente do Siso):
- O que é:
- A exodontia do 3º molar, também conhecido como dente do siso, é um procedimento mais complexo, pois esses dentes geralmente estão inclusos (não erupcionados) ou impactados (presos no osso ou na gengiva).
- A posição e o formato das raízes dos sisos podem variar, o que dificulta a extração.
- Indicações:
- Dor e inflamação causadas pelos sisos.
- Infecção (pericoronarite) ao redor dos sisos.
- Apinhamento dentário causado pelos sisos.
- Cáries ou doenças periodontais nos sisos ou dentes vizinhos.
- Cistos ou tumores associados aos sisos.
- Necessidade ortodôntica.
- Procedimento:
- O dentista aplica anestesia local ou geral, dependendo da complexidade do caso.
- Uma incisão é feita na gengiva para expor o dente e o osso.
- O osso que cobre o dente pode ser removido.
- O dente pode ser seccionado em partes para facilitar a remoção.
- A área é limpa, suturada e, em alguns casos, é colocado um material para ajudar na cicatrização.
- Recuperação:
- A recuperação da exodontia do 3º molar pode ser mais longa e desconfortável do que a exodontia simples, com maior inchaço, dor e dificuldade para abrir a boca (trismo).
- O dentista fornecerá instruções detalhadas sobre cuidados pós-operatórios, medicamentos e acompanhamento.
Cuidados Pós-Operatórios (Gerais):
- Aplicar compressas de gelo na face para reduzir o inchaço.
- Tomar os medicamentos prescritos pelo dentista.
- Evitar alimentos duros, quentes ou picantes nos primeiros dias.
- Fazer bochechos suaves com água salgada após 24 horas.
- Manter a higiene bucal, escovando os dentes com cuidado.
- Evitar fumar e consumir bebidas alcoólicas.
- Descansar e evitar esforços físicos nos primeiros dias.
- Retornar ao dentista para remoção das suturas e acompanhamento.
Considerações Importantes:
- A exodontia é um procedimento cirúrgico e, como tal, apresenta riscos de complicações, como infecção, sangramento excessivo, lesão nervosa e alveolite seca (dor intensa devido à perda do coágulo sanguíneo).
- É fundamental seguir as instruções do dentista para minimizar esses riscos e garantir uma recuperação adequada.
- É muito importante procurar um profissional qualificado para efetuar o procedimento.
Nossos Clientes
"Ótimo profissional, atendimento cuidadoso. Fiquei bem tranquilo e o resultado me surpreendeu."
Lúcio M.
"Estou realizando um tratamento com o Dr. José David e estou gostando muito."
Isabela A.
Você tem uma urgência?
Não deixe para depois, entre em contato agora mesmo e fale conosco! Realizamos atendimentos de urgência e prestamos o melhor serviço sempre.
Endereço
Avenida Prefeito Osmar Cunha, 183,
Ed. Ceisa Center, Bloco A, sala 804,
Centro, Florianópolis - SC
